美国氩氦刀技术官方网站

公告:

会议新闻

新闻动态 新闻动态 >> 会议新闻 >> 首页 当前位置:

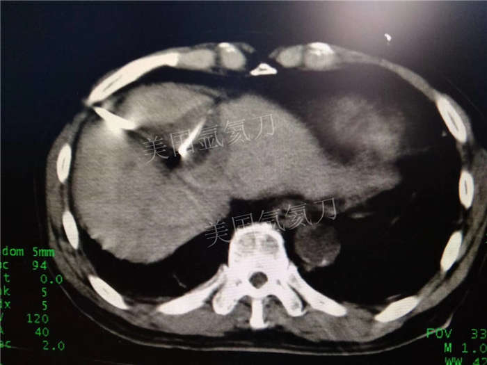
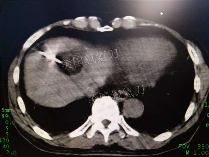
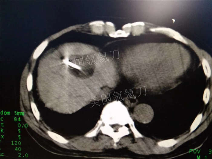
博罗人民医院乙状结肠癌术后肝转移化疗后冷冻消融

发布人:美国氩氦刀技术官方网站    发布时间:2018/7/26 9:48:55