美国氩氦刀技术官方网站

公告:

会议新闻

新闻动态 新闻动态 >> 会议新闻 >> 首页 当前位置:

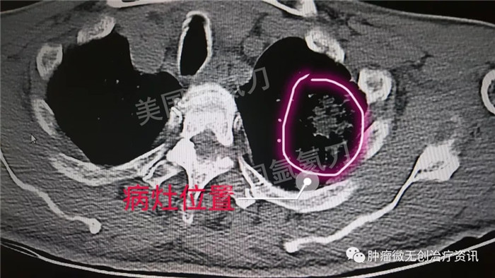
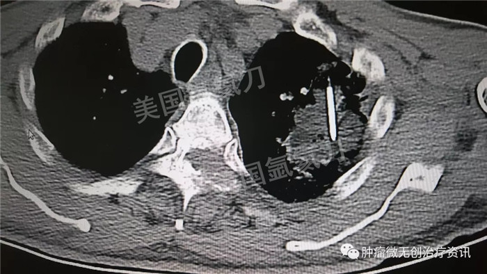
民航总医院氩氦刀冷冻消融治疗肺癌

发布人:美国氩氦刀技术官方网站    发布时间:2018/6/8 9:11:19

63岁男性患者,发现左肺占位1天入院,伴多发骨转移及肺内转移,行氩氦靶向治疗减瘤,同时穿刺取病理活检。