美国氩氦刀技术官方网站
首页
Home
原理机理
Mechanism
冷冻治疗简史
原理和机理
发展历程
治疗优势
临床应用
Applications
适应症
使用科室
产品介绍
Products
美国氩氦刀
可变冷刀
自测温冷刀性能
多型号巧适形
关于我们
About Us
联系我们
氩氦刀中国
氩氦刀美国
国际冷冻治疗学会
诚招代理
名医名院
Hospitals
会议新闻
News
新闻动态
公司会议
公告:
美国专家在全国泌尿肿瘤会介绍氩氦刀
安徽省首例原发肝癌TACE联合氩氦刀冷冻消融手术报道
安徽省亳州市人民医院介入科首例肝癌采用TACE联合氩氦刀冷冻治疗手术
锦州医科大学附属第三医院首例肝癌TACE联合氩氦刀冷冻消融手术
解放军307医院CT引导下氩氦刀冷冻消融手术治疗隆突性皮肤纤维瘤
涞水县中医院再次成功实施氩氦刀冷冻手术一例
冷冻消融,在肾癌治疗中显优势
南京溧水一老人身患胰腺癌,医生采用氩氦刀技术成功手术
“冻死”癌细胞,江苏首创氩氦刀治疗胰腺癌
华北油田总医院肿瘤科氩氦刀冷冻治疗学术交流
海南第一例氩氦刀消融术成功实施
中日医院中西医肿瘤专科医联体肿瘤冷冻技术培训班邀请函
中日医院中西医肿瘤专科医联体肿瘤冷冻技术培训班,圆满落幕
中核四〇四医院肿瘤治疗成绩斐然
“氩氦刀”拯救肿瘤患者
湖南省肿瘤医院冷冻微创治疗肺癌,消痛、免疫激活,微创介入治疗优势明显。
肿瘤治疗------氩氦刀
从黑龙江慕名接受氩氦刀手术患者
中央电视台CCTV1-《人口》栏目2017-04-18报道“致命的'胃'痛”
「冰火双刀」——消灭肝脏肿瘤不是梦!
氩氦刀,不开刀,不麻醉,CT引导穿刺,治疗后一切生活照常
第十三届中国肿瘤微创治疗学术大会
不手术不化疗,什么技术能让癌症治疗轻松些?
电视台来了!
第四届亚洲冷冻治疗学术大会
治癌之术:再认识冷冻消融
为何肿瘤患者要选择氩氦刀冷冻治疗?
看这里:晚期肿瘤患者和不能手术肿瘤患者有了新希望
肿瘤防治的中国方案:《肿瘤绿色治疗学》
82岁患者,介入治疗一次、放疗25次,最后选择了氩氦刀
氩氦刀冷冻消融手术精准“冻死”腋下肿瘤
首例复发性脑肿瘤氩氦刀手术
消失的左肺回来了,中医院胸外科多技术联合成功抢救晚期肺癌患者
肿瘤冷冻免疫沙龙圆满落幕
肺癌患者,放弃手术切除,选择了氩氦刀
省千医肿瘤微创科巧用氩氦冷冻消融技术治疗肿瘤!
中日友好医院的肺癌氩氦刀冷冻手术,冷冻范围距离气管仅仅0.5公分
山西省肿瘤医院介入科肝肿瘤氩氦刀冷冻消融
胰腺中心成功开展腹腔镜下胰腺癌冷冻消融术
美国氩氦刀冷冻姑息减瘤术
北京世纪坛医院呼吸科丁新民主任多学科联合下氩氦刀精准冷冻治疗右肺中央型肺鳞癌
河北省中医院肿瘤科王利民主任胸腺19公分肿瘤氩氦刀手术
307医院肿瘤微创科原发性肝癌氩氦刀冷冻手术
安徽省滁州市第一人民医院肝脏肿瘤氩氦刀冷冻手术
氩氦刀冷冻消融治疗胸壁病灶
民航总医院氩氦刀冷冻消融治疗肝癌
高龄(79岁)右肺腺癌侵犯胸壁患者肿瘤供血动脉栓塞➕氩氦刀冷冻消融术
东方医院8*8cm肝癌氩氦刀冷冻消融
福建中医药大学附属福州中医院氩氦刀冷冻消融治疗肾上腺癌和肝癌
陆军总医院氩氦刀冷冻消融治疗肺癌
东方医院肝癌氩氦刀冷冻消融治疗
东方医院63岁患者肺癌淋巴结转移氩氦刀冷冻消融治疗
民航总医院氩氦刀冷冻消融治疗肺癌
东方医院70岁4*3cm肺癌氩氦刀治疗
天津中医药大学附属武清中医院氩氦刀冷冻消融治疗肺癌
煤炭总医院氩氦刀冷冻消融治疗肺癌
民航总医院氩氦刀冷冻消融治疗肺癌
唐山市人民医院氩氦刀冷冻消融治疗肺癌
东方医院氩氦刀冷冻消融治疗肺癌
平度中医院右肺上叶肿瘤氩氦刀冷冻消融治疗
氩氦刀冷冻消融术:不开刀,轻松和肿瘤君说滚蛋吧!
民航医院胸外科氩氦刀冷冻肺癌手术
民航总医院氩氦刀冷冻消融治疗肺癌
天津中医药大学附属武清中医院氩氦刀冷冻消融治疗肺癌和肋骨转移瘤
民航总医院氩氦刀冷冻消融治疗前列腺癌
东三省首例氩氦刀冷冻治疗胰腺癌手术在辽宁省肿瘤医院顺利实施
东方医院氩氦刀冷冻治疗5*5肺癌
中日友好医院氩氦刀冷冻消融治疗胸膜间皮瘤
靠近膈肌的肝肿瘤,CT下冷冻消融,没有人工胸腹水,也安全可行
煤炭总医院氩氦刀冷冻消融治疗左肺小细胞癌
中美国际肿瘤医院氩氦刀冷冻消融治疗子宫颈癌左髂骨内侧转移病灶
江苏泗洪城西人民医院,第一台美国氩氦刀肺肿瘤冷冻穿刺手术!
LUS引导下氩氦刀冷冻治疗胰腺癌的初步研究
【祝贺】高州市人民医院美国氩氦刀国际治疗中心正式成立
博罗人民医院乙状结肠癌术后肝转移化疗后冷冻消融
东方医院肺部氩氦刀冷冻治疗
氩氦刀冷冻治疗12cm肿瘤
郑州大学附属郑州中心医院氩氦刀冷冻消融治疗肺部肿瘤
中国人民解放军第307医院氩氦刀冷冻消融治疗肝部肿瘤
煤炭总医院氩氦刀冷冻消融治疗双肺转移病灶
衡水第二人民医院肺部氩氦刀冷冻治疗
氩氦冷冻治疗最大径8.2肿瘤,冰球最大径7.9
肿瘤冷冻治疗技术走出国门
老年肺癌患者失去手术机会该如何
老年肺癌患者的氩氦刀冷冻消融治疗——首都医科大学附属北京世纪坛医院
腹膜后脂肪肉瘤氩氦刀冷冻消融治疗——中国人民解放军第307医院
梭形细胞癌术后复发的冷冻治疗——首都医科大学附属北京世纪坛医院
青岛市平度中医院氩氦刀冷冻消融治疗
北京东方医院直肠氩氦刀冷冻消融治疗
山东平度市中医院对85岁左肺上叶肿瘤患者行氩氦刀冷冻消融治疗
前列腺癌氩氦刀冷冻消融治疗——民航总医院
衡水第二人民医院肝部氩氦刀冷冻消融治疗
右肺下叶腺癌氩氦刀冷冻消融治疗——天津中医药大学附属武清中医院
肿瘤靶向治疗国际论坛暨河北省肿瘤微创与靶向治疗专业委员会年会成功举办!
乳腺癌转移皮下肿瘤氩氦刀冷冻消融
骶尾部恶性肿瘤氩氦刀冷冻消融
肺占位病变氩氦刀冷冻消融
腰大肌旁转移癌氩氦刀冷冻消融治疗
氩氦刀消融两个3公分介入后病灶,疗效确切!
氩氦刀冷冻消融
恶性间皮瘤氩氦刀冷冻消融
探索肝脏肿瘤经皮消融“禁区”
抗癌古方对不同体质患者的辨证施治——北京卫视《养生堂》胡凯文教授特别节目
肿瘤绿色治疗云端系列课程之肺癌篇今日16:00准时直播
80岁肺部氩氦刀冷冻消融
国家卫健委:我国恶性肿瘤5年生存率提高近10个百分点
癌细胞爱吃糖?不,它们更爱吃蛋白质
直面2型糖尿病的本质,深入了解胰岛素抵抗,全是干货,记得收藏和转发!
我国医疗器械产业发展现状及思考
90岁高龄研究癌症50年肿瘤专家汤钊猷告诫:得癌别轻易开刀!
医生平均年薪69万!看看港大深圳医院如何补偿医疗服务
抗癌的关键,不是手术!查出三种癌,别急着去挨刀子
未在意杵状指,住进ICU!这个肺癌的早期信号,你注意了吗?
带儿子看病被查出患同种癌!林奇综合症,可怕的家族魔咒
女子2年没复查,甲状腺结节变成癌!体检发现结节,怎么办?
权威杂志研究:每天熬夜玩手机,容易得这种癌症
小心癌从口入!这些餐桌上的“招癌水”“养癌肉”,很多人爱吃
小痛小病不在意,当心拖成癌晚期!这4种“小病”要早治疗
BMC MICROBIOL:预防结直肠癌,要从娃娃抓起!致结直肠癌相关大肠杆菌可经母婴传播
卵巢癌作为沉默女性的杀手,也并非毫无症状
肺癌患者到了晚期,如何提高提高生存质量,博得一线生机?
《中国黑色素瘤患者行为现状调研白皮书》发布 1/3患者就诊前未听过黑色素瘤
女子反复口腔溃疡确诊舌癌中晚期,患上舌癌有哪些症状?
肝癌的元凶竟在厨房?这种一级致癌物,小心吃进肚里!
我把癌症患者吃过的亏,总结12点分享给大家
腰痛可能是癌症的征兆!如果还有这三种症状,小心是肾癌的信号
秋冬吃火锅小心“弄坏”娇嫩的食管,这三种饮食习惯会导致食管癌!
熬夜会致癌?常上夜班的人想避开患癌风险,要做好4件事!
癌症总是悄无声息?癌症来临前这4个症状很明显,不可忽视
2021年11月份肺部氩氦刀手术
新晋“癌王”有救了?将间充质癌细胞转化成上皮癌细胞,可削弱其攻击性
大肠癌越来越“年轻化”!远离日常生活中的四大“元凶”
120万元一针抗癌神药进入医保谈判!这“天价神药”到底是什么?
体内有癌,肚子先知?肚子出现4个变化,小心癌症找上门!
世界胰腺癌日:哪些人群是胰腺癌的高危人群?早期5个症状不可忽视!
中国专家引领国际乳腺癌发展,“复旦分型”让三阴性乳腺癌疗效提升3倍
口腔溃疡久治不愈??小心是舌癌
2021年11月份肺部氩氦刀手术
2021年11月份肺部氩氦刀手术
男子乳下皮肤溃破竟是癌!乳腺癌并非“传女不传男”,出现5个异常需警惕
从肝炎到肝癌只有3步!远离肝癌,你千万不能做的5件事
过冬是个坎!肿瘤患者如何预防冬日肿瘤恶化,安然过冬?
识别肺癌中的“钻石突变”,点亮肺癌患者生命希望
中国研究:没想到哪哪都搞事的METs,还与甲状腺癌侵袭性相关!
肺癌不声不响?身体出现4个异常,是肺癌在敲门!
LV艺术总监心脏长瘤去世,心脏为什么也会患癌?
2021年12月份肺部氩氦刀手术
2021年12月份肺部氩氦刀手术
小细胞肺癌肺内转移,冷消融病灶坏死
脸上长微凸的痣,当心是皮肤癌!千万别忽视了
自查一下!排便出现3种迹象,警惕大肠癌正在靠近!
致癌物就潜藏在你身边!这4种常见物,就是致癌元凶
染发致癌并非谣言!男性染发,患前列腺癌风险增加77%
难以启齿的癌症!9成肛门癌与HPV有关,身体会有4个症状
癌症年轻化,只因习惯差!这6种不良习惯,会让癌症盯上你
乳腺癌发病率越来越高?别慌,吃这4种食物,降低患乳腺癌风险
知名演员因食管癌去世:生活中出现这3种症状,可能是食管癌!
患了胃癌意味着步入“鬼门关”?关于胃癌的5件事,建议大家都要知道
什么癌症最难治?这4种癌症,千万别碰到!
熬夜伤身?通宵致癌?研究发现,通宵真的会致癌!
得了癌症康复后人会怎样?衰老加速?身体衰退?
2021年12月份肺部氩氦刀手术
胖子更易患上大肠癌?如果是这类人,更应该注意
经常喝这种饮品,患肠癌风险更高!很多年轻人爱喝
2022年1月份肺部氩氦刀手术
符合这8大特征的人易被食管癌盯上!高危人群该如何检查?
癌症可能是被你“吃”出来的!这几种不良饮食习惯,劝你改掉
癌症的“卫冕之王”胰腺癌,这几个治疗方法,趁早了解一下
美国将幽门螺旋杆菌列为明确致癌物!如果有这几个表现,你可能感染了幽门杆菌
体检查出肺部有结节会变成癌吗?别慌!这些情况需要重视
喉咙不适以为是咽炎?出现这5个征兆,警惕咽喉癌
前列腺癌究竟是因何而起?日常生活中的三个元凶找到了!
腊八:想吃腊八粥、腊八蒜?肿瘤患者的科学过节攻略来了
一顿火锅烫不出食道癌,但这几类人,患食道癌风险大增
担心患癌不自知?若出现这5种症状,肝癌可能已经登门!
被“癌王”胰腺癌盯上,往往有这4种前兆!别掉以轻心
癌症传染吗?若是这两种,还真有可能让全家“遭殃”!
人人谈癌色变!这4种癌症,早期发现或能控制住
小心“癌症之王”找上门!如何早期发现胰腺癌?
2022年2月份肺部氩氦刀手术
皮肤出现这3种症状,当心是癌症的信号!不得不防
大肠癌越来越年轻化,这4种行为习惯是背后的“祸根”!
“打工人”想防癌?做好这5点,癌细胞可能会绕道走!
2022年3月份肺部氩氦刀手术
牙齿松动、牙龈肿胀不是小问题,还有可能是牙龈癌!
2022年3月份上下肢氩氦刀手术
不得不防!这4种致癌炸弹,可能就隐藏在你的饭桌上
“打工人”想防癌?做好这5点,癌细胞可能会绕道走!
中医治疗的食管癌,出路在哪里?
超47万人11年随访数据:吃素降低两性所有癌症风险20%!男性前列腺癌风险31%!然而对预防女性乳腺癌可能没啥用...
香港女艺人肺癌去世,身体6个症状暗示着早期肺癌!
比患癌更可怕的是患上胰腺癌!这个“癌中之王”到底有多可怕?
2022年3月份腋下部氩氦刀手术
这几样东西真的不能“省”,癌症可能就是被你这么“省”出来的!
让前列腺癌提前七年被诊断,早筛早诊是防治关键
咽喉干燥发痒?警惕食管癌!40岁以上出现了症状应尽早筛查
胰腺癌并非一出现就是晚期!5个异常,你可能错过了
癌症与日常饮食习惯息息相关!不想癌从口入,这6种食物要避免
28岁青年舞蹈家患胃癌去世,这个癌症为什么会盯上这群“年轻人”?
你以为的“生长痛”,还有可能是骨癌!青少年多发
2022年4月份肺部氩氦刀手术
2022年4月份肺部氩氦刀手术
2022年4月份肺部氩氦刀手术
经常吃这两类食物更易患肠癌!四个早期肠癌信号,千万别忽视
超10万人队列研究:躲过了肥胖,换来了癌症?常见人工甜味剂可增加总癌症风险!特别是这俩!
头痛、呕吐千万不能轻视!这或许是脑瘤的早期症状
国际冷冻协会荣誉主席Franco Lugnani教授访问武汉同济医院
国际冷冻协会荣誉主席Franco Lugnani教授访问湘雅三医院
国际冷冻协会荣誉主席Franco Lugnani教授访问湖南省肿瘤医院
第6届中国肿瘤介入与微创治疗大会即将在天津隆重召开
2015年第74届中国国际医疗器械秋季博览会(2015CMEF武汉秋季会)成功举办
会议新闻
新闻动态
公司会议
新闻动态
新闻动态
>>
会议新闻
>>
首页
当前位置:
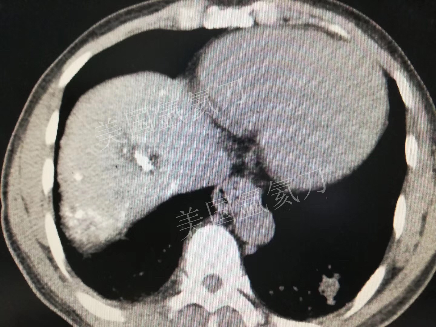
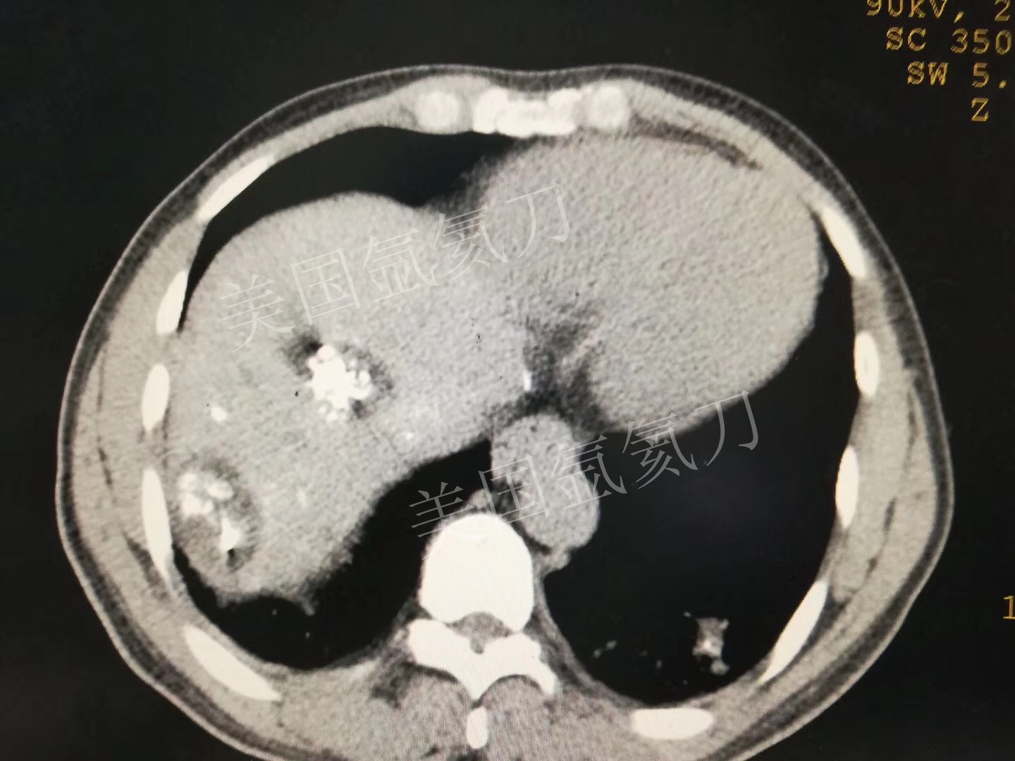
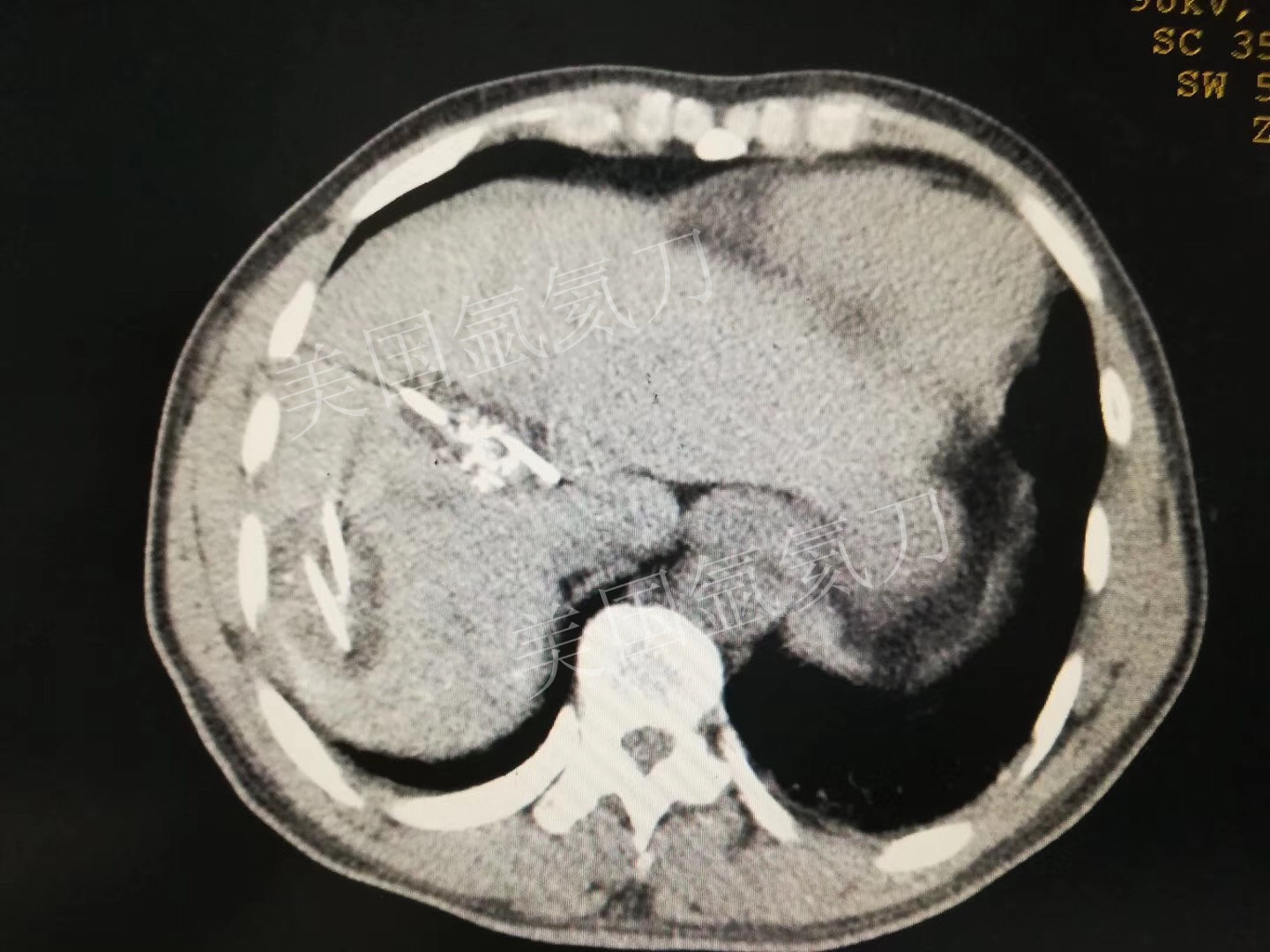
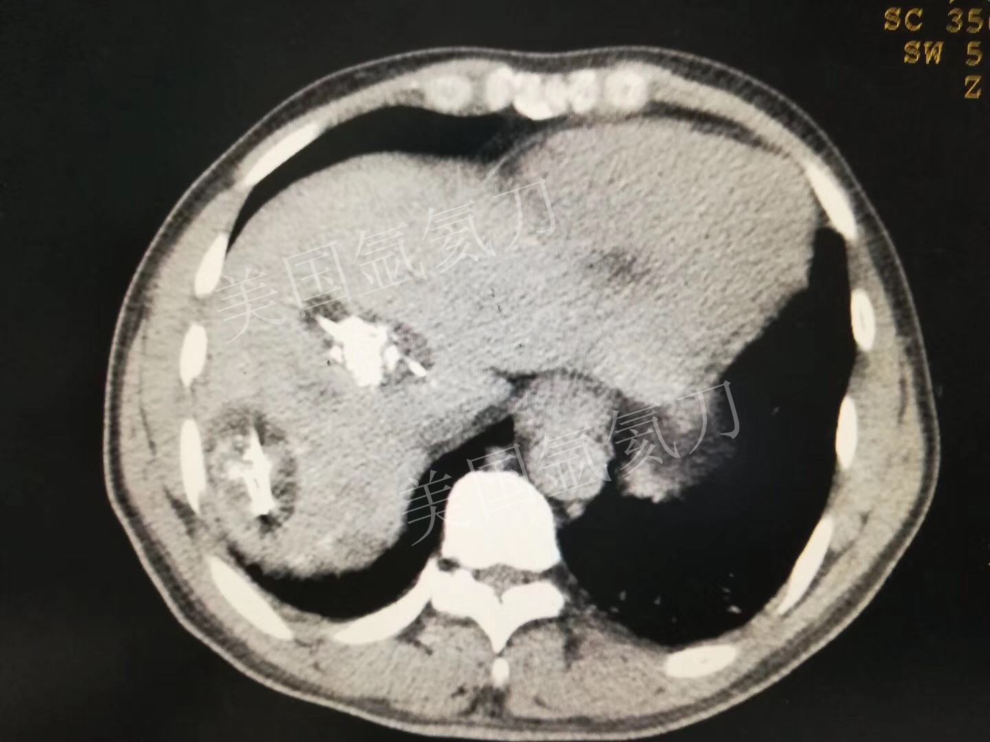
氩氦刀消融两个3公分介入后病灶,疗效确切!
发布人:美国氩氦刀技术官方网站 发布时间:2019/3/22 14:09:41
上一篇:
59岁男性肝部氩氦刀手术治疗
下一篇:
氩氦刀冷冻消融